New Paradigm of Beauty, RIZ

나를 위한 가장 섬세한 선택, 여성 성형은 프라이버시에서 시작됩니다.

  • before & after of RIZ
    전후사진

    눈으로 확인하는 섬세한 변화와 만족의 기록

    리즈산부인과의 전후사진은 단순한 시술 결과를 보여주는 자료가 아니라, 환자 한 분 한 분의 변화와 이야기를 담은 기록입니다.

    사진에 담긴 결과는 리즈가 지향하는 맞춤형 치료와 세심한 케어의 증거이며, 여성의 삶의 질을 높이기 위해 노력한 과정의 산물입니다. 리즈는 환자의 목소리에 귀 기울이고, 기능적 회복과 심미적 만족을 동시에 실현하는 것을 사명으로 삼고 있습니다.

  • 전후사진
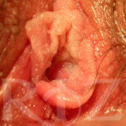
  • 치료 전 사진
    치료 후 사진

    나이 : 27 / 출산경력 : 0 / 이름 : 박OO

    레이저처녀막수술  LMH™(Laser Micro Hymenoplasty™)

    - Before : 처녀막이 부분적으로 손상되어 있고 질 입구가 벌어진 상태

    - After :  LMH 수술 후 처녀막이 거의 흔적없이 완벽하게  복구 됨


  • 치료 전 사진
    치료 후 사진

    나이 : 26 / 출산경력 : 0 / 이름 : 김OO

    레이저처녀막수술  LMH™(Laser Micro Hymenoplasty™)

    - Before : 처녀막 하단 부분이 손상되어 질 입구가 벌어진 상태

    - After :  LMH 수술 후 처녀막이 거의 흔적없이 완벽하게  복구 됨


  • 치료 전 사진
    치료 후 사진

    나이 : 29 / 출산경력 : 0 / 이름 : 조OO

    레이저처녀막수술  LMH™(Laser Micro Hymenoplasty™)

    - Before : 처녀막이 손상된 상태로 오랜 시간이 지나 처녀막의 흔적을 찾을 수 없고 질 입구가 벌어진 상태

    - After :  LMH 수술 후 처녀막이 거의 흔적없이 완벽하게  복구 됨


  • 치료 전 사진
    치료 후 사진

    나이 : 28 / 출산경력 : 0 / 이름 : 이OO

    레이저처녀막수술  LMH™(Laser Micro Hymenoplasty™)


    - Before : 처녀막이 손상된 상태로 오랜 시간이 지나 처녀막의 흔적을 찾을 수 없고 질 입구가 벌어진 상태

    - After :  LMH 수술 후 처녀막이 거의 흔적없이 완벽하게  복구 됨


  • 치료 전 사진
    치료 후 사진

    나이 : 25 / 출산경력 : 0 / 이름 : 박OO

    레이저처녀막수술  LMH™(Laser Micro Hymenoplasty™)


    - Before : 처녀막이 손상되어 질 입구가 넓어져 있는 상태

    - After :  LMH 수술 후 처녀막이 거의 흔적없이 완벽하게  복구 됨


  • 치료 전 사진
    치료 후 사진

    나이 : 29 / 출산경력 : 0 / 이름 : 서OO

    레이저처녀막수술  LMH™(Laser Micro Hymenoplasty™)

    - Before : 처녀막이 손상되어 질 입구가 넓어져 있는 상태

    - After :  LMH 수술 후 처녀막이 거의 흔적없이 완벽하게  복구 됨


네이버 위챗 카카오톡